月~土:9:30~13:00/14:30~19:00 定休日:日曜日、祝祭日
※土曜日は14:00~17:00。木曜日午後は不定休。

TEL.097-574-8597

devicesWEB予約

devicesご予約

devicesWEB予約

〒870-1152 大分市上宗方1084
TEL. 097-574-8597

診療時間
9:00 - 13:00
14:30 - 19:00

※▲土曜日は14:00~17:00まで ◆木曜日午後は不定休

Dental Implantation
インプラント

Our Policy

歯ぐきを切開しない術式で治癒期間が短いインプラントをご提案しています

これまでのインプラントとは違って、歯ぐきを切開しない術式のインプラント治療を行っています。歯ぐきを切開しないため、患者さまへの負担が少ない治療法です。

このような場合は
ご相談ください

  • 歯を失ってインプラントを考えている。
  • 負担が少ないインプラントをしたい。
  • インプラントを考えているが大がかりな治療が大変そう。
  • 健康な歯に負担をかけない治療法がよい。
Feature

みのり歯科クリニックの
インプラント治療の特徴

体への負担が少ない・
低リスク・10年保証

  • 体への
    負担が
    少ない
    治療時間と治癒期間が短いフラップレスインプラントをご提案しています。
  • 低リスク
    3DCTを使用した綿密なシミュレーションに加えサージカルガイドを用いる術式によってリスク低減を行っています。
  • 10年保証
    インプラントの割れ、破損に対して10年保証制度があります。
About

フラップレスインプラント
とは?

歯ぐきを切開しない術式の
インプラント

通常のインプラントでは、歯ぐきを切り開いたり、剥離(はがしたり)し、インプラントを埋入します。そのため、治療時間も長くなりますし、治療後の治癒期間も長くなります。

当院では、歯ぐきを切開しないフラップレスインプラントを行っています。歯ぐきを切開しないため、治療時間も短く(出血が少なく・歯ぐきの縫合も無い)、治療後の治癒期間も短い、患者さまに負担の少ないインプラントです。

治療時間と治癒期間が短く
患者さまへの負担が少ない
従来のインプラント
  • 01歯ぐきを切開
  • 02歯ぐきを剥離
  • 03インプラント埋入
  • 04歯ぐきを縫合
フラップレスインプラント
  • 01数ミリの穴を歯ぐきに空ける
  • 02インプラント埋入

歯科用3D CT
を使った治療
シュミレーションに対応

大分市稙田地区のみのり歯科クリニックのCTレントゲン機器
骨や血管、神経の細部まで
撮影可能

フラップレスインプラントは、歯ぐきを切開、剝離しないため、事前にインプラントを埋入する歯ぐきの状態を正確に把握することた大切な治療です。

当院では、歯科用3D CTを完備しています。この歯科用CTによって、通常のレントゲン写真では分かりづらい細部まで、口腔内の骨、血管、神経を確認することができます。

つまり、これまで歯ぐきを切開しなければ分からなかった口腔内の状態を歯科用CTによって把握し、フラップレスインプラントの治療シミュレーションを行うことが可能になりました。

サージカルガイド
を使用した
ピンポイント埋入

フラップレスインプラント術式で使用するサージカルガイド
シミュレーションどおりの
治療のために

歯科用CTで撮影したデジタルデータをもとに、治療シミュレーションを作成しても、治療の際にそのとおりに埋入なければ、シミュレーションが台無しです。

当院では、フラップレスインプラントにあたって事前にサージカルガイドを製作します。これは、撮影した歯科用CTデータをもとに、インプラント埋入時に、角度や深度、位置をシミュレーションどおりに行うためのガイドです。

このガイドにより、治療計画で立てたシミュレーションどおりのインプラント治療ができるようになり、治療中のリスクを大幅に減らすことができます。

Treatment Cost

費用

330,000円~
(健康保険の適用外)

フラップレスインプラントの
デメリットとリスク

  • 歯を支える骨の状態によっては適用外となる場合があります。
  • 通常のインプラントと比較して費用が割高となる場合があります。

Flow

インプラント治療の流れ

診断・治療計画

1.CTによる3D診断
CT撮影を行い、3Dデータをもとに口腔内の骨の状態、歯肉、神経の位置を総合的に診断します。
これにより、患者さまの口腔環境に適した治療計画を立てることが可能になります。

2.専用ソフトによる手術計画
CTの3Dデータを専用のソフトウェアで解析し、インプラント手術のデジタルシミュレーションを行います。
最適なインプラントの埋入位置や角度を正確に計画し、「サージカルガイド」を製作します。これにより、安全で精度の高い手術が可能になります。

患者さまへの術前説明

診断結果と治療計画をもとに、費用・期間・手術内容・リスクなどを丁寧にご説明します。

治療の流れ

1.インプラントの埋入手術
顎の骨に人工歯根を埋め込みます。事前に製作したサージカルガイドを使用し、正確な位置に埋め込みます。
骨量が不十分な場合は、骨移植やサイナスリフトなどの補助手術を行います。

2.骨との結合と土台の装着
インプラントが骨と結合するまで2〜6ヶ月を要します。
結合後にアバットメント(土台)を装着します。

3.人工歯(クラウン)の製作・装着
歯の色・形に合わせたクラウンを製作し、装着後に噛み合わせを調整します。
自然な見た目と快適な噛み心地を実現します。

FAQ

よくあるご質問

Q. 手術の痛みはありますか?
インプラント手術中は、しっかりと麻酔をかけるため、痛みをほとんど感じることはありません。実際に手術を受けた患者さんの多くが「思ったより楽だった」とおっしゃっていただけます。
Q. 費用および治療期間はどのくらいですか?
手術時間はインプラントの本数や難易度によって異なりますが、通常1本あたり30分~1時間程度です。治療期間はケースによって異なりますが、最短で3か月、長くて7か月ほど必要となります。費用は1本あたり約¥30,000ですが、骨造成やガイドシステムの使用により追加費用が発生することもあります。
Q. 誰でも手術を受けられますか?
いいえ。まだ骨の成長が終わっていない方や、特定の持病をお持ちの方などは、手術を受けられない場合があります。事前にご相談ください。
Q. インプラントはどのくらい持ちますか?
10~15年後も、上の歯で約90%、下の歯で約94%が残存しているといわれています。
Q. インプラントが取れたり壊れたりすることはありますか?
耐久性は高いですが、強い衝撃や歯ぎしりにより破損することがあります。インプラント周囲炎の進行によって脱落することもありますので、噛み合わせの調整と定期的なメンテナンスが重要です。
Q. 手術後に腫れや痛みが出た場合はどうすればいいですか?
通常は数日~1週間で落ち着きます。冷やす、痛み止めを服用するなどで対応可能です。強い痛みや出血が続く場合はすぐにご連絡ください。
Q. インプラント治療後に運動や旅行はできますか?
激しい運動は術後しばらく控えてください。軽い運動は数日後から、本格的な運動は1〜2週間後が目安です。旅行は経過を見てから計画しましょう。
Q. 喫煙者でも治療を受けられますか?
喫煙は成功率を下げる要因となります。治療前後は禁煙をおすすめし、可能であれば禁煙継続が望ましいです。
Q. 手術後すぐに食事はできますか?
麻酔が切れれば食事は可能ですが、刺激物や硬いものは避け、やわらかく刺激の少ない食事がおすすめです。数日後には通常食に戻せますが、医師にご相談ください。
Q. 定期的なメンテナンスは必要ですか?
インプラントも歯周病になる可能性があるため、定期的なメンテナンスが必要です(インプラント周囲炎の予防)。
Case

症例紹介

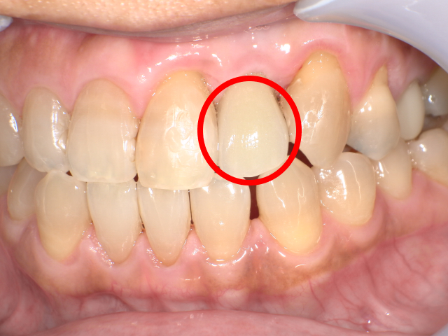
左上前歯1本のインプラント挿入

インプラント治療の口腔内写真
インプラント治療の口腔内写真

施術の価格:385,000円(税別)
治療期間:約5か月
施術の副作用(リスク):手術により痛み・腫れ・出血の可能性あり

左上5・6番、右上6・7番のインプラント挿入

インプラント治療の口腔内写真

施術の価格:1,250,000円(税別)
治療期間:約1年
施術の副作用(リスク):手術により痛み・腫れ・出血の可能性あり
※写真は鏡像です。

右下6・7番のインプラント挿入

インプラント治療の口腔内写真
インプラント治療の口腔内写真

施術の価格:660,000円(税別)
治療期間:約4か月
施術の副作用(リスク):手術により痛み・腫れ・出血の可能性あり

Maintenance

インプラントを
長持ちさせるために

メンテナンスにお越しください

定期検診に来た女性に説明している歯科衛生士

インプラント治療後は、必ずメンテナンスに通院ください。

インプラントは、自分の歯と違ってむし歯にはなりません。しかし、メンテナンスをしなかった場合、インプラント周囲炎になる可能性があります。

インプラント周囲炎は、簡単に言うとインプラントの歯周病です。インプラントの周辺組織が炎症を起こし、歯ぐきが腫れたり出血します。ただし、インプラントは自分の歯と違って神経が無いため症状に気づきにくい病気です。

インプラント周囲炎を防ぎインプラントを長持ちさせるためにも、メンテナンスにぜひお越しください。

(株)OSSTEM JAPAN社主催のマスターコースを修了

OSSTEMインプラントマスターコース修了写真

2024年に株式会社OSSTEM JAPAN社主催のマスターコースを修了いたしました。

株式会社OSSTEM JAPAN社は世界4位のインプラント専門企業です。今では全世界の歯科医師たちが最も多く使用するインプラントブランドになっています。

受講したマスターコースは、インプラント治療の全てを1つのコースに構成したセミナーで、基礎的な内容から充実した実習内容を取り込んだ体系的なトレーニング構成になっています。

習得した治療技術を患者さまの健康な生活に貢献できるようこれからも精一杯サポートさせていただきます。

Feature

みのり歯科クリニックは
万一のトラブルに備えた
10年保証

治療後のトラブルに対応した保証制度があります

当院では、インプラント治療について10年の保証期間を設けています。

保証期間中において、通常の使用でインプラントが割れる・欠ける等のトラブルが生じた場合、インプラントの補修や再埋込治療等に対応いたします。

ただし、保証条件や保証内容については、規定があります。詳しくは、当院までお問い合わせください。

負担の少ない
インプラント治療は

みのり歯科クリニックに
お任せください

無料相談
実施中
  • 歯を
    失って
    困っている
  • インプラントの
    腫れ・痛みが
    心配
  • 安全性を
    考慮した治療を
    受けたい
  • 治療期間や
    費用を
    知りたい
お気軽に無料相談
お越しください。
お電話・インターネットから
ご予約いただけます
arrow_upward